12 days since surgery and I am feeling good. It was great having Dad here to help us out….he went back to Tucson on Friday.
My doctors at Mayo called me today (I was impressed, a Sunday) to let me know that my “Rock” was 100% benign!
The tumor was classified as a “Solitary Fibrous Tumor”, not a meningioma as they thought it was from the MRI images. The doctors told me Monday that they had never seen a tumor of this type in the location mine was in. Today they told me that they only see around 10 Solitary Fibrous Tumors each year (in a variety of different places – lungs, pancreas, etc.) let alone one in a person’s head like mine was.
So we are really happy and thankful that things are turning out so positive. Tuesday, I get my 20 staples taken out and then hopefully back to work on July 11th.
I have a follow up MRI and doctors visits at Mayo Rochester in mid September. If all goes well, then annual scans and visits after that.
Special thanks to Gordy and Donna Carls for visiting me in Rochester both before and after surgery. Gordy’s spiritual guidance was awesome for both me and my family.
Thanks to Sue, J, Ruth, Ray, Carrie, Susie, Jim and Marilyn for their visits to me while in the hospital.
Special remembrances to my cousins Connie and Randy who bravely battled brain tumors before me.
Greg
Category Archives: mayo
The Rock before it was taken into custody by the Mayo Clinic pathology team
Well, there it is. The Rock was the size of a golf ball and was described to me as “hard as a rock”.
We are still waiting on pathology report, but based on prelim opinions from docs, they believe it be benign! This means another trip to Mayo in September for another MRI and consults with docs to be sure nothing is growing back.
All is looking good. I am feeling better every hour. Hats off to my best friend Kim for taking such good care of me. Thanks for all the continued thoughts, calls, emails, cards (LOTS of cards from my Kum & Go friends, thanks!) and prayers.
Greg
Sent from my iPad
Picture taken one day after surgery
Greg and the Rock have parted ways
The Rock was evicted from head yesterday afternoon. It appears he caused minimal damage to his living quarters (my brain) and recover will be fast. I am tired and in a little discomfort, but all in all feeling really good.
The Rock posed for a couple of pictures post eviction that I will post in a little while.
I am still in ICU, but will be getting moved to a regular room later this morning after another MRI.
Thanks for all the cards, calls and prayers. God is great!
Greg
The last blog with the Rock!
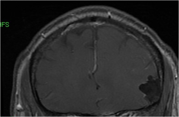
The Rock (meningioma) will be evicted by Dr. Lanzino tomorrow at 11 AM.
Today was busy with appointments with doctors, blood work and a stealth MRI. I have 10 tattoo dots on my head-forehead that surgeon will use as a part of the guidance system. Guess I was wrong when I said I’d never get a tatt.
I am feeling confident and ready to get this thing over with. Kim will update tomorrow.
Thanks for all thoughts, prayers, e-mails, facebook shout outs and calls.
Greg
Another look at Rock…
Get a good look at Rock…….his days are numbered. 6 to be exact!
Location, Access, Grocery Stores, Convenience Stores and Brain Tumors
I have been in the convenient retail (convenience stores) business since 1989. During my time in this industry I have learned al lot about people and the business.
One of the first things I learned after starting my career with Kum & Go as an Iowa City Kum & Go manager is shopping in a c-store is A LOT easier than running one! I also learned that working in a c-store was a whole lot more fun (except for cleaning the men’s restroom the day after an Iowa home football game) than shopping in one!
Ordering merchandise, receiving merchandise, building displays, trying to figure out what students wanted to buy (besides beer) were all fun things to be doing as a 22 year old just out of college worker. I figured out that I loved the retail cycle.
This could be a genetic thing I received from the Foy/Burns side of my family DNA. My Grandpa and Grandma Burns were southeastern South Dakota grocery store tycoons in the 50’s and 60’s. Well, they had 2 stores – that’s tycoon worthy in my dictionary.
One of the most important traits that determine the success of any retail establish is location.
The retail establishment, no matter how big or beautiful it is, has to be somewhere where it can be seen and accessed by customers. All others traits of the business are mute without a location that is both visible and accessible. Grandpa and Grandma’s Burns IGA Markets were both located on Main Streets in their towns.
“OK, so how does all this relate to your Rock?” you ask. Well here it comes:
With regards to brain tumors, accessibility and location are among the important characteristics. In the Rock’s case, he IS accessible and he IS in a good location. Good access for the Rock means he can be taken out surgically and good location for the Rock means that his presence in my head is causing minimal effects on me.
So there you have it. What a good convenience store and a “good” brain tumor have in common.
No go out and support your local convenience store – preferably a Kum & Go if there is one in your neighborhood.
Greg
Summer begins…
Summer is finally in full swing here at our house. The kids enjoyed their first full week of vaca.
Taylor has been a regular swimming in the racoon river getting ready for the first triathlon of the season next Saturday in Sioux Falls.
Jamie savored his few days before starting his summer schedule at Dahls.
Will kicked off his vaca with wisdom teeth surgery on Monday. He had all 4 pulled and did great. He back to regular food and lifting weights for football……545 AM every morning!
Dad arrives Friday and will go with us to Sioux Falls for Taylor’s race.
All is well with Rock. He has been behaving himself and I am feeling good.
Thanks again for the cards, calls, thoughts and prayers.
Greg





